固定式義歯‐PFTシステム
PFTシステム維持装置とは?
外れないけど外しやすい義歯
取り外し可能で外れにくい入れ歯と言えば、磁石式やスマイルデンチャーなど多くの種類がありますが、当院推奨の維持装置【PFTシステム】はこちらになります。
こちらのイラストは自然歯に維持装置PFTシステムを取り付けたイメージになります。
入れ歯本体と冠部分に凹凸があり、「パチッ」と固定できる形状です。
※外部企業特許技術になりますので、簡易イラストで表現しています。
固定の度合いが強く、ある患者様で家に帰ったあと義歯が外せなくて再来院したこともありますが、心配はいりません。
外し方、力の入れ方にコツがあり、コツさえつかめば力の弱い方でも外せるようになります。
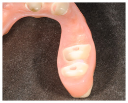
こちらが実際のPFT固定装置、拡大写真になります。

PFTシステムは、色んな形状の義歯に対応しやすく、自然歯が無い場合でもインプラントに装着固定することも可能です。
PFTシステム詳細
ソフトアタッチメント着脱式義歯
適した症例
・クラスプ(入れ歯の止め金具)を使用したくない症例
・コーヌス(茶筒を応用した固定着脱式)に変わる強維持機能を必要とする症例
特長
・数ミリの小さい維持装置で強い維持機能を発揮します。
・床の色は自然な歯肉色
形態
・パーシャルデンチャー(部分入れ歯)にも対応。
PFT維持装置についてご質問やご相談などお電話で受け付けています。
総合受付に繋がりますので【歯科医師 電話相談】とお伝え下さい。
上記紹介の小さな入れ歯について
上記イラストの入れ歯はこちらも当院推奨の入れ歯であります【ジルコニア無口蓋型可撤義歯】ジルコニア一体型の入れ歯になります。
特徴としまして、人工歯が一体型になっており、通常の入れ歯より使用素材が少ないのでつなぎ目が少ない形状です。そのため、強度が増す構造になるので口腔内を占拠する容量が減り、小さい形状が可能となります。
最大のメリットは上顎部分に舌の当たる箇所、入れ歯の床中央部分がありません。

床が無い形状は食べ物の熱を感じやすく、お口の妨げになる範囲が少ないので味覚に関しては抜群の感度です。
ジルコニア一体型義歯について、ご質問やご相談などお気軽にお電話下さい。
受付に【ドクター電話相談希望】と伝えて頂ければ、歯科医師がご対応させていただきます。


























