取り外し可能ジルコニア固定義歯
金属を使わない「小さい」入れ歯
ジルコニア一体型義歯
正式名をジルコニア無口蓋型可撤義歯。
こちらは当院推奨の義歯で、セラミルという最新医療機器で製作されたものになります。

特長
人工歯素材が一体型
負担が分散される
取り外し可能
清掃性が良く清潔
金属を使っていない
金属アレルギーの方に対応
小さい
違和感が少ない
床の中央部分無い
味を感じやすい
通常の入れ歯との比較


通常入れ歯の床中央部分は、舌が上あごに当たる部分で、強度を保つため厚みが必要になります。
その他、金属の素材コバルトやチタン、ゴールドなどを使い薄くする手法もありますが、こちらの義歯は床中央部分自体が無いため、熱や味覚の感度が各段にアップします。
デメリットとして、ジルコニアが土台の要になりますので硬さがあり強いのですが、衝撃には弱いことです。清掃時に落としてしまったりすると割れてしまう可能性があります。
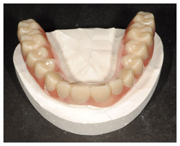
装着例
こちらは口腔内模型で、

上顎部なので見え方が逆になりますが、仮装着するとこんな感じです。

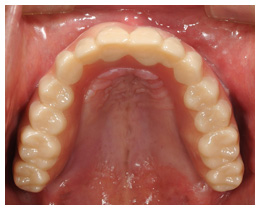
義歯装着時

上あごを覆う土台が無く、飲食の熱や味覚を邪魔しない形状です。

(上顎が義歯になります)
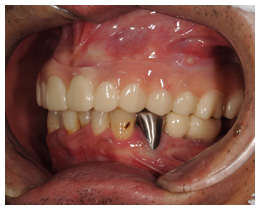
こちらの症例の患者様は、取り外し可能な継持装置「PFTシステム」を導入しており、「外れない取り外し可能な入れ歯」となります。
固定するための自然歯が無い場合でも、インプラントで対応が可能になります。
※症状により治療を出来ないケースもありますので、まずは電話相談にてご相談下さい。
ジルコニア一体型義歯についての質問、ご相談などお気軽にお電話下さい。
【歯科医師 電話相談】と受付に伝えて頂ければ歯科医師がご対応させていただきます。
入れ歯治療の種類
精密義歯や審美義歯、柔らかい素材や小型のもの、固定システムや1日で完成する1DAYデンチャーなど。




























